IT之家 3 月 21 日消息,科技媒体 Ars Technica 今天(3 月 21 日)发布博文,报道称研究人员发现全球发病率高达 10% 的慢性肾脏病(CKD),正成为诱发进行性多灶性白质脑病(PML)致命脑部感染的“隐性通道”。
该报道聚焦名为 JC 病毒(人类多瘤病毒 2 型)的隐秘病原体,预估能感染全球约 90% 的人,该病毒通常在人体细胞内安静潜伏一生,不会引起任何不适,绝大多数感染者对此毫无察觉,但免疫力极度低下时可能会“苏醒”作恶。

科学家于 1971 年首次从患者约翰 · 坎宁安(John Cunningham)体内分离出该病毒,并以此为其命名。JC 病毒首先感染人体的扁桃体或胃肠道,在感染初期,人体感染的是“原型 JC 病毒”,这一阶段完全没有任何症状。
随后,病毒会在人体内建立起持续终生却毫无声息的隐性感染,绝大多数人终其一生都不会受到实质性伤害。
不过病毒一旦苏醒,便会重组自身的遗传物质,突变为极具攻击性的“PML 型”JC 病毒。突变后的病毒会疯狂入侵大脑,精准破坏形成绝缘髓鞘的特定脑细胞(少突胶质细胞)。
髓鞘的大面积脱落会导致神经细胞功能丧失甚至死亡,进而引发进行性多灶性白质脑病(PML)。患者随后会出现类似中风或多发性硬化症的症状,包括语言障碍、视觉缺陷、运动功能障碍以及癫痫发作。
研究人员发现,全球发病率约为 10% 的慢性肾脏病(CKD),正悄然成为诱发这种致命脑部感染的“隐性通道”。即使没有使用免疫抑制类药物,肾病患者也可能面临极高的病毒入侵风险。
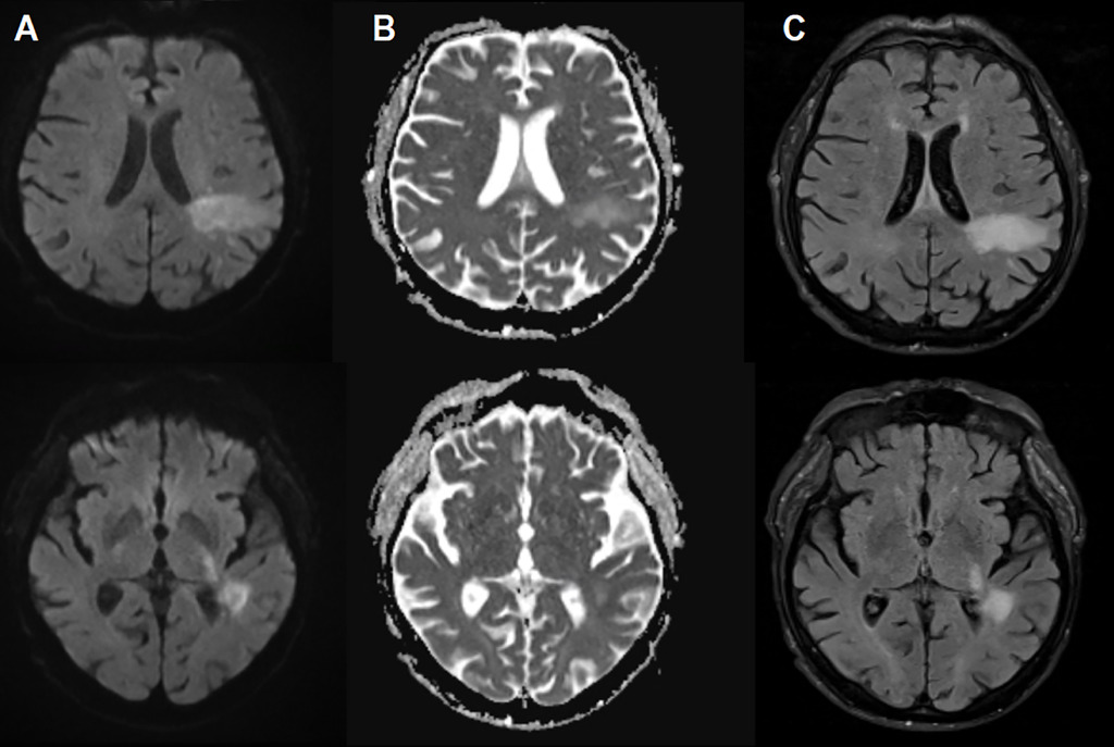
而最新研究详细记录了一起典型病例。一名患有终末期肾病(尿毒症)的 72 岁男性,因突发间歇性失语、意识模糊和全身乏力被紧急送医。
医生起初怀疑这是尿毒症引发的脑病,但在入院 48 小时后,患者的语言障碍急剧恶化。经过脑部核磁共振(MRI)扫描,医生在其大脑白质中发现了典型的脱髓鞘病变。

随后,脑脊液检测确认了 JC 病毒的存在,患者被正式诊断为 PML。遗憾的是,该患者病情迅速恶化,在确诊仅 2 天后便不幸离世。
为什么普通的肾病会引发罕见的脑部病毒感染?研究揭示了背后的致命机制:慢性肾脏病会引发一种名为“免疫瘫痪”的状态。
随着肾功能衰退,体内蓄积的尿毒症毒素(如吲哚硫酸盐)会严重破坏免疫细胞的功能,导致 T 细胞耗竭和白细胞防御力下降。
这种慢性炎症环境不仅让免疫系统加速衰老,更让原本潜伏在人体内的 JC 病毒得以苏醒,进而长驱直入破坏中枢神经系统。
这一致命病例为全球医学界敲响了警钟,由于慢性肾病引发的 PML 极为罕见且隐蔽,临床医生极易漏诊。
专家呼吁,当肾病患者出现新发、进行性的神经系统症状(如失语、认知障碍或步态不稳)时,必须高度警惕 PML 的可能。
IT之家附上参考地址
<!-- 非定向300*250按钮 17/09 wenjing begin -->
<!-- 非定向300*250按钮 end -->
</div>